Click figure thumbnails to enlarge
|
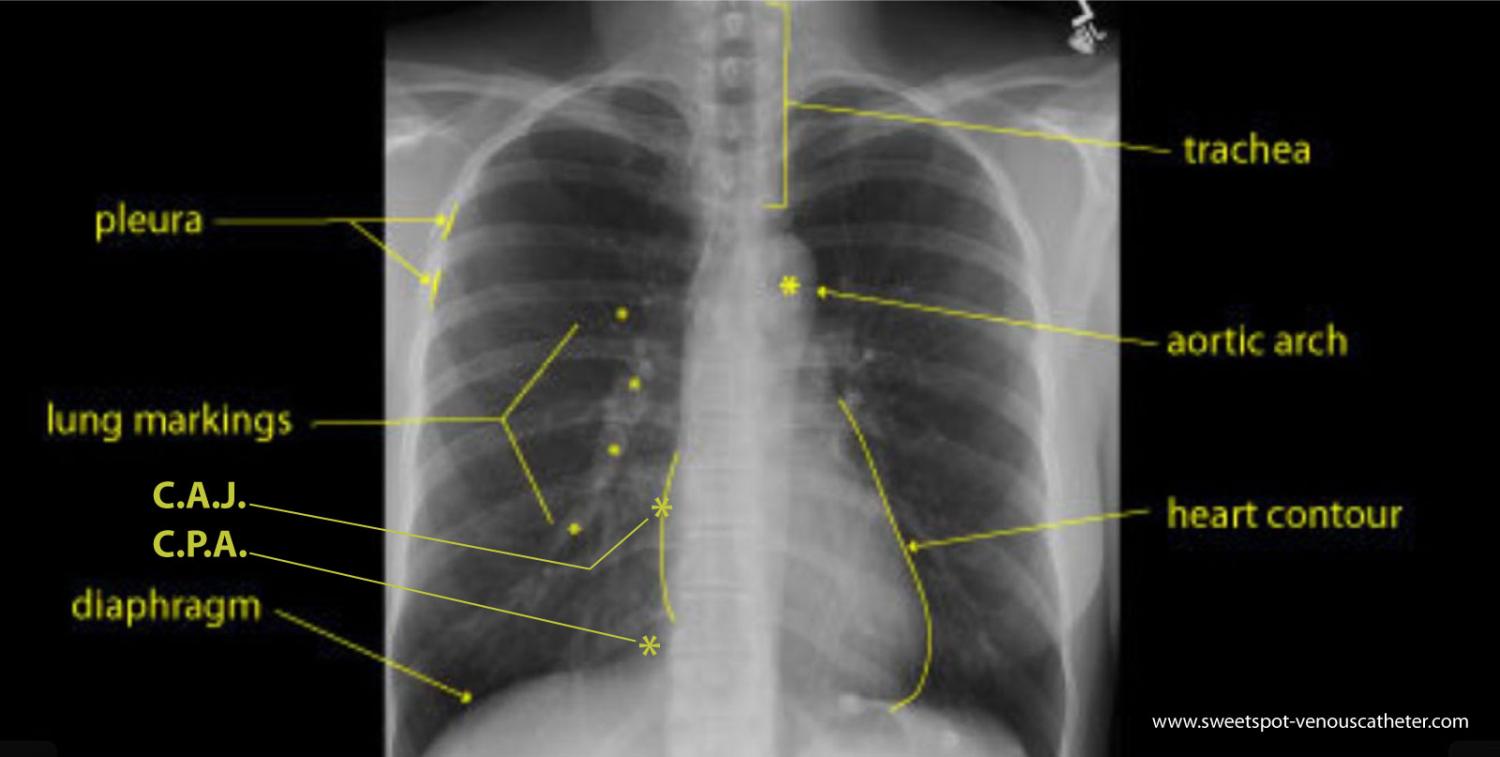
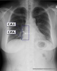
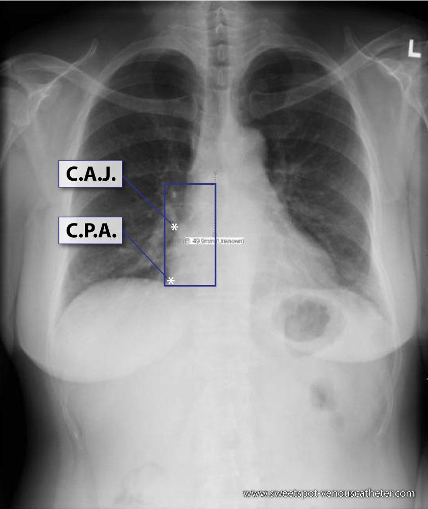
Figure - 01
CXR Sweet Spot™ Box Measurements |
Figure - 02
Cardiac anatomy conduction pathways |
Figure - 03
Dual energy CXR. Another variation in Sweet Spot™ dimensions |
|
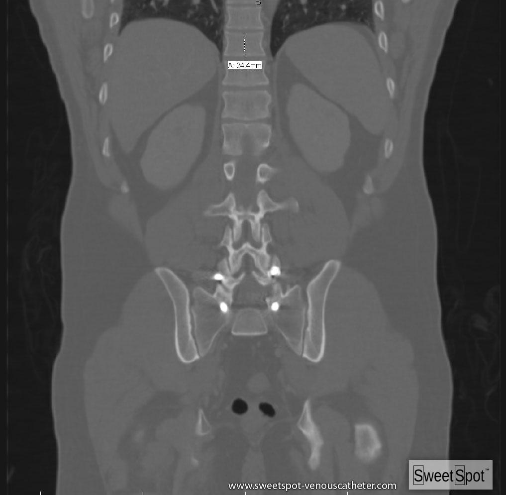
Figure - 04
Enhanced coronal CT reconstruction |
Figure - 05
Unenhanced coronal MRI demonstrating same anatomy as coronal enhanced CT |
Figure - 06
Example of how S.V.C. can be very long in some patients. Right-sided V.A.D. contrast injection. |
|
Figure - 07
Left-sided chest port S.V.C. gram (mild fibrin sleeve at distal catheter) |
Figure - 08
Enhanced coronal CT reconstruction. Sweet Spot™ box can be tilted as patient anatomy dictates. |
Figure - 09
Patient at inspiration. V.A.D. above C.A.J. Example of why the box needs to be as long as it is. |
|
Figure - 10
Example of why Sweet Spot™ needs to be this wide. |
Figure - 11
Left-sided access - The catheter can still be very vertical in S.V.C and R.A. |
Figure - 12
C.A.J. ≈ 4-5 cm below carina - Most patients, most inspiratory CXR's. |
|
Figure - 13
"Vertebral body is internal ruler." Dorsal spine X-ray average 2.5cm height lower dorsal area. 3cm = distance between adjacent superior (or inferior) plates. |
Figure - 14
Coronal reformation CT. Example of average height of dorsal vertebral body ≈ 2.5cm "internal ruler." |
Figure - 15
Lateral CXR Sweet Spot™ |
|
Figure - 16
Sagittal CT reconstruction |
Figure - 17
|
Figure - 18
Dual energy CXR. Example of V.A.D. at center of box. I.E. CAJ. |
|
Figure - 19
How to draw the Sweet Spot™ |
Figure - 20
|
Figure - 21
Societal recommendations for V.A.D. catheter tip location |
|
Figure - 22
Catheter Tip Position |
Figure - 23
Two mistakes - #1 Subclavin vein puncture, #2 Tip of catheter in upper SVC. |
Figure - 24
Often, the cavo-atrial junction can be approximated accurately as about 5 cm below the carina |
|
Figure - 25
My perfect tip location - post port placement on table supine at expiration |
Figure - 26
Obscured Sweet Spot™ Landmarks |
Figure - 27
Let's change this. |
|
Figure - 28
Good Luck - whatever method of confirmation used! |
Figure - 29
Sweet Spot |
